At Rebol Family Dentistry, we can help restore your smile using dental crowns after a root canal or dental damage. Dental damage like chips and cracks can severely impact your teeth when performing daily tasks like chewing and speaking. If allowed to get worse, this damage can cause tooth loss.
No one wants to lose a tooth unnecessarily. That’s why we recommend repairing dental damage as soon as possible. It helps prevent bigger problems and unforeseen issues. At our practice, we often save damaged teeth using dental crowns.
These custom “caps” protect and strengthen your tooth while restoring its natural look. Dr. Christopher Rebol does his best to save as much natural enamel as possible. A crown lets you keep your tooth structure while giving you back full function and a complete smile. We explain your options below to help you understand how crowns could help your specific situation.

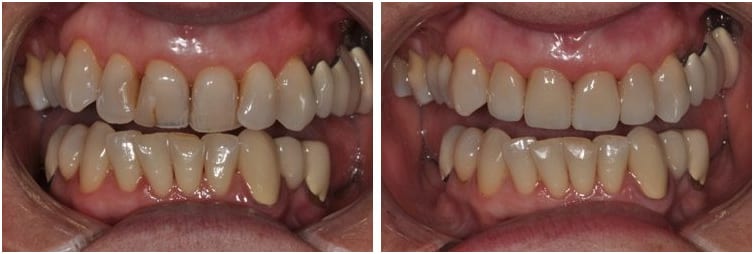
Patient before and after Emax Crowns at Rebol Family Dentistry.
Dental Crowns in Asheville, NC
Dr. Christopher Rebol is your experienced dentist in Asheville, NC. Dr. Rebol can help restore your teeth with dental crowns. When you have a severely damaged tooth, you shouldn’t have to lose it completely.
Instead of extracting the tooth, we carefully reshape it into a strong foundation. This preserved core keeps your natural root intact while supporting a custom-made crown. After the procedure, you’ll have a fully functional tooth that looks and feels completely natural when you bite, chew, or smile.
Your Crown Treatment Options
Getting a traditional crown usually takes 2 visits. We prepare your tooth and take precise digital impressions at your first visit. We place your permanent crown during the second appointment.
Dr. Rebol also offers Same-day CEREC crowns. When appropriate, we can design, create, and place your crown in just one visit using our in-office milling technology. During the procedure, we gently prepare your tooth by removing only the damaged portions. Like giving a sculptor a clean block of marble, this creates the ideal base for your crown.
Using advanced digital scanning, we then design a crown that matches your smile perfectly. It will fit so seamlessly that you’ll forget it’s not your real tooth.
By preserving your tooth’s root structure, crowns help maintain your jawbone health and prevent the facial collapse that often follows extractions. Whether you choose traditional or same-day crowns, you’re investing in a solution designed to last for decades.
Why Asheville Patients Choose Our Crowns:
- Natural aesthetics that blend with your smile
- Preserved tooth structure for better oral health
- Two-visit and same-day options available
- Digital precision for optimal comfort and fit
Ready to save your damaged tooth? Give Rebol Family Dentistry at 828-247-7222 to discuss which crown option fits your needs.
The Uses of Dental Crowns
Dental crowns are one of the most valuable treatments in modern dentistry because they can solve both cosmetic and functional issues. These custom-made caps completely cover damaged or imperfect teeth. When teeth are severely discolored and whitening treatments don’t work, crowns provide a perfect solution by covering the tooth with a shade that matches your other teeth. They can also transform misshapen or irregular teeth.
Beyond cosmetic improvements, crowns play a vital role in preserving your natural teeth. When a tooth suffers from significant decay or trauma, a crown acts like a protective shell that holds the tooth together. This approach saves your natural tooth root, which maintains healthy jawbone structure and preventing the problems that come with tooth loss.
After a root canal procedure, a crown becomes essential for protecting the treated tooth. While the root canal removes infected material from inside the tooth, the crown provides external strength and defense against future damage. It restores your ability to bite and chew normally while keeping bacteria out.
Crowns also serve as the perfect finishing touch for dental implants. Whether you need to replace one tooth or several, each implant gets its own custom crown. Together, they look, feel, and function just like a real tooth. From preserving damaged teeth to completing implant restorations, dental crowns are long-lasting solutions for virtually any dental concern.
With proper care, your crown can protect and enhance your smile for many years. Whether you’re dealing with cosmetic concerns or dental damage, a crown might be exactly what you need.
Patient Review
Frequently Asked Questions
Do you want to learn more about this restorative treatment? We can help. Read answers to common questions about crowns in Asheville, NC.
What are inlays and onlays?
Also known as partial crowns, inlays and onlays cover a smaller portion of the tooth than regular crowns. Inlays cover the chewing surface within the cusps or sides of the tooth. Onlays cover the top of the tooth, including the sides. Inlays and onlays are great options for patients who have large cavities, but not enough damage for an entire crown.
Do I need a crown after a root canal?
We will sometimes recommend crowns for patients that just got a root canal treatment. A crown offers extra support if patients have damaged and worn teeth. Dr. Rebol can also use crowns to replace large dental fillings to prevent damage to treated teeth.
What are dental crowns made of?
While dental crowns are made from several different materials, we primarily use porcelain. A porcelain dental crown looks just like real teeth. They’re the best option for front teeth because they look natural.
However, you can get a crown made from other materials, like metal or gold. Those crown options will not blend in well with your natural teeth, but are much stronger.
How long do dental crowns last?
Dental crowns typically last between 10 to 30 years, depending on how well you care for them. The type of crown matters too. Metal and gold crowns tend to last longer than porcelain ones. However, they will not look as natural.
Your oral habits make a difference. Grinding your teeth, eating hard foods, and not brushing well can shorten a crown’s life. Regular dental check-ups and good hygiene can help your crown stay strong and last much longer.

Will a dental crown protect my tooth from damage?
Yes. A crown acts like a strong cap that covers the entire tooth to keep it safe and stable. We recommend crowns when a tooth is cracked, weakened by decay, or has had a large filling or root canal. These teeth are more likely to break or wear down over time. Placing a crown over the tooth helps stabilize it and prevents further damage.
A crown also protects the tooth from the everyday pressure of chewing and biting. It restores the tooth’s shape and strength so you can eat comfortably without worrying about cracking the tooth further. Crowns also seal the tooth to block bacteria and lower the risk of future decay.
Are dental crowns painful to get?
Getting a dental crown isn’t painful. We’ll numb your tooth and the area around it before starting, so you shouldn’t feel much during the procedure. You might feel some pressure, but not pain. Your mouth may feel sore for a few days after getting a crown.
This minor discomfort is normal. You can take over-the-counter pain medicine as well. If you are in a lot of pain or discomfort that lasts more than a few days, you should talk to your dentist. If you’re nervous about this procedure and have dental anxiety, talk to our dentist about your dental sedation options.
Do dental crowns require multiple visits?
We can complete your dental crown treatment in two visits. Your first dental appointment will involve preparing the tooth and placing a temporary crown. The next visit will involve placing your permanent crown once we receive it from the dental lab. During your consultation, Dr. Rebol will explain the entire dental crown process in detail.
What happens if my dental crown falls out?
First, locate the dental crown and keep it in a safe place. Contact our Asheville practice right away, and we’ll schedule an appointment for you as soon as we can get you in.
Until your appointment, avoid chewing on that side of your mouth. You can use temporary dental cement from a drugstore to protect the tooth. Be careful with what you eat and drink to avoid hurting the exposed tooth. Your dentist will check the crown and either put it back on or make a new one for you.
Schedule A Dental Exam Today
Do you have a severely damaged or chipped tooth? We can help restore your smile using custom-made dental crowns. Give us a call at 828-247-7222 or schedule an appointment online. We look forward to helping you get your oral health back on track.
